Quantos cromossomos os humanos têm? Essa pergunta pode parecer simples, mas entender isso explica muita coisa sobre nós. Muitas vezes, a gente ouve falar de genética, mas não sabe de onde vem tanta informação. Fica tranquilo, neste post eu te mostro de forma clara quantos cromossomos temos e por que eles são tão importantes para o nosso corpo.
O Básico do DNA: Entendendo Nossos Blocos de Construção
Sabe aqueles “manual de instruções” que a gente tem dentro do corpo? É o DNA. Ele carrega todas as informações sobre quem você é. Essas informações vêm em pacotes chamados cromossomos. Eles são essenciais para tudo, desde a cor dos seus olhos até como seu corpo funciona.
Cada um de nós tem um conjunto específico de cromossomos. Esse número é padrão e fundamental para que tudo funcione direitinho. Entender isso ajuda a compreender melhor a base da nossa biologia e por que somos únicos.
Confira este vídeo relacionado para mais detalhes:
O Mapa Genético Humano: Desvendando os Cromossomos

O que são exatamente os cromossomos?
Vamos falar sobre os cromossomos. Pense neles como manuais de instrução do seu corpo. Cada célula sua tem um conjunto desses “manuais”. Eles carregam as informações genéticas que determinam quem você é, desde a cor dos seus olhos até a sua altura. É uma coisa fascinante, né?

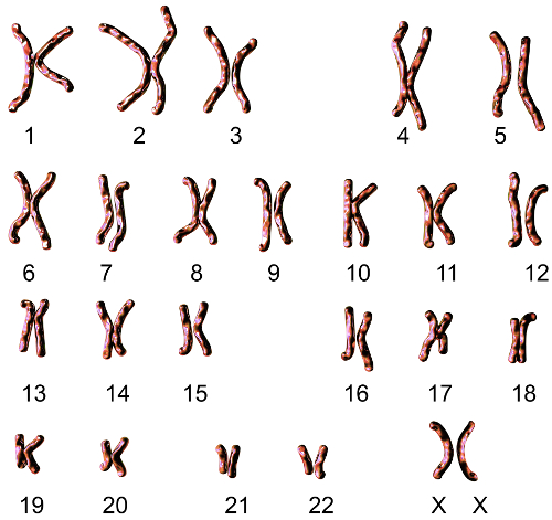
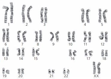
E a pergunta que não quer calar: quantos cromossomos os humanos têm? A resposta é 46. Nós temos 23 pares de cromossomos. Vinte e dois pares são iguais para homens e mulheres, e o último par, o 23º, é que faz a diferença: XX para as mulheres e XY para os homens. É nesse detalhe que mora a nossa singularidade.
Entender essa estrutura básica nos ajuda a compreender muitas coisas sobre hereditariedade e saúde. Esses “manuais” são passados de pais para filhos, moldando as características que herdamos. A organização deles em pares garante que tenhamos a quantidade certa de informação genética.
Dica Prática: Se você tem dúvidas sobre histórico familiar de saúde ou características genéticas, conversar com um médico pode esclarecer muitas coisas sobre como seus cromossomos influenciam sua vida.

A forma dos cromossomos: como eles se parecem?
Você já se perguntou sobre a forma dos cromossomos? Pois é, eles não são todos iguais. Existem diferentes formatos, e a forma do cromossomo pode dizer bastante sobre ele. A gente costuma pensar neles como estruturas básicas, mas a natureza é bem criativa na organização.

Basicamente, a forma do cromossomo depende de onde está o centrômero. O centrômero é aquela “cintura” que une as duas metades do cromossomo duplicado. Dependendo da posição dele, o cromossomo pode parecer um ‘V’, um ‘L’, ou até mesmo uma linha reta quando as metades estão se separando. Essa variação na forma é crucial para a divisão celular correta.
Entender a forma dos cromossomos ajuda a visualizar como o DNA se organiza dentro das nossas células. Cada par de cromossomos tem uma forma característica que os cientistas usam para identificá-los. Essa organização garante que a informação genética seja passada de forma precisa de uma geração para outra.
Dica Prática: Na próxima vez que vir uma imagem de cromossomos, preste atenção nas diferentes formas que eles apresentam. Isso ajuda a entender a complexidade do nosso material genético.

Cada cromossomo tem um trabalho?
Você já se perguntou quantos cromossomos os humanos têm? A resposta é que cada um de nós carrega 23 pares de cromossomos em quase todas as nossas células. São 46 no total. Pense neles como pacotes de instruções. Cada cromossomo tem um trabalho específico, uma função vital para o nosso desenvolvimento e funcionamento. Eles carregam o nosso DNA, que é a receita completa de quem somos.

Esses cromossomos não vêm em um conjunto genérico. Na verdade, são 22 pares de cromossomos autossômicos e um par de cromossomos sexuais. São eles que determinam se você é homem (XY) ou mulher (XX). Cada par é um conjunto de informações genéticas, com um vindo da sua mãe e outro do seu pai. Eles trabalham juntos para garantir que tudo funcione como deveria, desde a cor dos seus olhos até como seu corpo lida com alimentos.
A organização dos cromossomos é algo impressionante. Embora cada cromossomo tenha um trabalho, eles não trabalham isolados. A interação entre eles é fundamental para a saúde. Alterações no número ou na estrutura dos cromossomos podem levar a certas condições. É um sistema delicado, mas incrivelmente eficiente na maioria das vezes.
Dica Prática: Se você tem dúvidas sobre sua saúde genética ou de seus filhos, converse com um médico. Eles podem te orientar e esclarecer qualquer preocupação sobre quantos cromossomos os humanos têm e como eles afetam a vida.

Cromossomos sexuais: o que determina ser homem ou mulher?
Sabe aqueles detalhes que fazem toda a diferença no nosso corpo? Pois é, os cromossomos sexuais são um desses. A gente nasce com 23 pares de cromossomos, totalizando 46. Desses, um par é o que define nosso sexo: os cromossomos sexuais. Para as mulheres, esse par é XX. Para os homens, é XY. É ali que a mágica acontece, ditando muitas das nossas características.

Esse par XY ou XX é passado dos pais para os filhos. O espermatozoide do pai pode carregar um cromossomo X ou um Y. Se o espermatozoide com X fertiliza o óvulo da mãe (que sempre tem um X), o resultado é XX, uma menina. Se o espermatozoide com Y chega primeiro, o resultado é XY, um menino. Simples assim, o pai é quem determina se será um garoto ou uma garota.
Essa combinação de cromossomos não é só para saber se você é homem ou mulher, ela afeta outras coisas também. Várias características genéticas estão ligadas a esses cromossomos, e por isso algumas condições são mais comuns em um sexo do que no outro. É a natureza mostrando sua inteligência!
Dica Prática: Se você está pensando em ter filhos, lembre-se que a genética é fascinante e, embora esse par defina o sexo, o desenvolvimento completo envolve muitos outros fatores. Uma gravidez saudável é o mais importante!

E os outros 22 pares? O que eles fazem?
Você sabe quantos cromossomos os humanos têm? Pois é, são 23 pares no total, totalizando 46. Já falamos sobre os cromossomos sexuais, X e Y, que determinam se você é homem ou mulher. Eles são os últimos da fila, os chamados pares 23.

Mas e os outros 22 pares? Esses são os autossomos. Eles carregam a maior parte da informação genética. Pensa neles como os manuais de instrução para quase tudo no seu corpo. Eles ditam a cor dos seus olhos, a textura do seu cabelo, sua predisposição a certas características físicas e até algumas tendências de saúde.
Cada par de autossomos tem uma função específica, trabalhando em conjunto para manter tudo funcionando direitinho. Um vem da sua mãe, o outro do seu pai. É essa combinação que te torna único. Vamos combinar, é uma organização e tanto dentro de nós!
Dica Prática: Se você tem curiosidade sobre sua ancestralidade ou histórico familiar de saúde, exames genéticos podem te dar informações valiosas sobre seus autossomos.

Como os cromossomos determinam nossas características?
Pois é, a gente tem 46 cromossomos. Eles são como um manual de instruções para o nosso corpo. Cada um deles carrega um monte de informação, os genes, que ditam nossas características. Coisas como a cor dos olhos, o tipo de cabelo, até a altura, tudo isso tem um pé nos seus cromossomos.

A gente recebe metade desses cromossomos do pai e a outra metade da mãe. São 23 pares, totalizando os 46. E essa mistura é que faz cada um de nós ser único. Pensa só: é um código genético que vem de duas famílias, se juntando para formar você.
Esses genes que vêm nos cromossomos não definem tudo sozinho, viu? O ambiente e nossos hábitos também têm uma força danada. A genética te dá a base, mas como você cuida dela é super importante para o resultado final.Dica Prática: Lembre-se que, mesmo com a genética, seus hábitos diários fazem toda a diferença na sua saúde e bem-estar.

O que acontece quando há um número errado de cromossomos?
Você já parou pra pensar quantos cromossomos os humanos têm? O normal, aquele que garante que tudo funcione direitinho, são 46. Eles vêm em 23 pares, metade da mamãe, metade do papai. É o manual de instruções do nosso corpo, sabe? Quando esse número muda, aí o negócio pode ficar complicado.

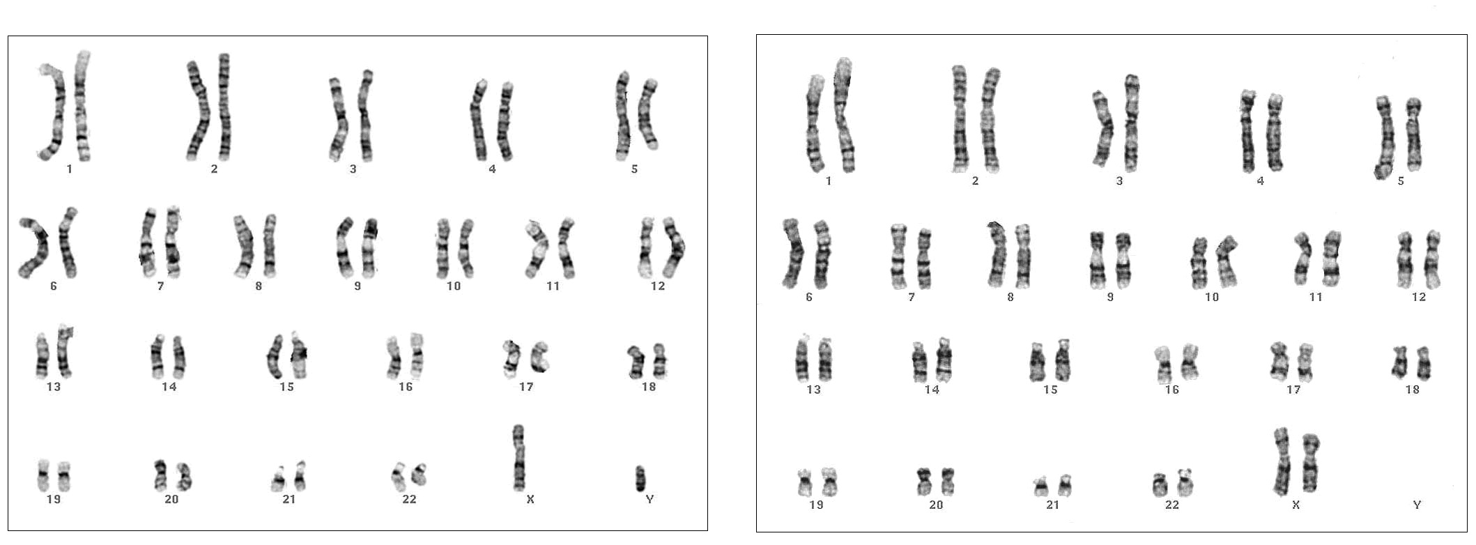
Se o número de cromossomos não bater certinho, pode dar uma alteração. Por exemplo, se tiver um a mais em algum par, isso pode levar a condições como a Síndrome de Down, que é quando a pessoa tem 47 cromossomos, com uma cópia extra do cromossomo 21. Do outro lado, ter um a menos também pode causar problemas sérios no desenvolvimento.
Essas variações podem acontecer na hora da formação do óvulo ou do espermatozoide, ou logo no comecinho do desenvolvimento do embrião. Não é algo que a pessoa escolhe ou faz de errado. São eventos aleatórios na natureza.
Dica Prática: Se você tem dúvidas sobre saúde genética, converse com um médico especialista. Ele pode te dar as informações mais confiáveis e adequadas para o seu caso.

Síndrome de Down: um exemplo comum de variação cromossômica
Você sabia que cada um de nós carrega uma “receita” genética dentro de si? Essa receita está dividida em pacotinhos chamados cromossomos. Em geral, um ser humano tem 46 cromossomos, organizados em 23 pares. É essa configuração que determina muitas das nossas características.

A Síndrome de Down, por exemplo, é um caso conhecido de variação no número de cromossomos. Em vez de 46, algumas pessoas com Síndrome de Down têm 47 cromossomos. Geralmente, há uma cópia extra do cromossomo 21. Isso pode influenciar algumas características físicas e o desenvolvimento.
Entender essa questão de quantos cromossomos os humanos têm nos ajuda a compreender a diversidade humana. Cada variação é parte natural do que nos torna únicos.
Dica Prática: Se tiver dúvidas sobre questões genéticas, converse com um profissional de saúde. Ele pode explicar tudo de forma clara e sem mistério.

Mitos e verdades sobre a quantidade de cromossomos
Você já parou pra pensar quantos cromossomos nós, humanos, temos? Muita gente pensa que esse número varia pra caramba, mas a verdade é bem mais direta. A gente carrega 46 cromossomos. Pensa assim: 23 vêm da sua mãe e 23, do seu pai. Essa dupla aí é que define um monte de características suas.

E não, não é que os homens têm mais ou menos cromossomos que as mulheres. A gente se divide em 22 pares de autossomos, que são iguais pra todo mundo, e um par de cromossomos sexuais. Nas mulheres, são dois X (XX), e nos homens, um X e um Y (XY). Essa pequena diferença é que determina o sexo, mas o total de 46 cromossomos se mantém. É um padrão que funciona pra quase todo mundo.
Às vezes, por alguma condição genética, pode haver uma variação nesse número, como na Síndrome de Down, que tem um cromossomo extra no par 21. Mas isso são exceções, e não a regra. Entender isso ajuda a desmistificar muita coisa por aí.
Dica Prática: Se você tem curiosidade sobre sua ancestralidade ou saúde genética, um teste de DNA pode te dar informações sobre seus marcadores genéticos, mas o número padrão de cromossomos é sempre 46.

A ciência evolui: novas descobertas sobre o DNA humano
Você sabia que cada um de nós carrega uma quantidade específica de cromossomos? Essa é a base da nossa genética. A ciência avança e mostra mais sobre essa estrutura fascinante.

Vamos direto ao ponto: os humanos, em geral, possuem 46 cromossomos. Eles vêm em 23 pares. Cada par tem um papel na determinação das suas características únicas.
Essa organização é vital para o desenvolvimento e funcionamento do corpo. Entender isso nos ajuda a compreender mais sobre nós mesmos e as variações genéticas que existem.
Dica Prática: Busque fontes confiáveis sobre genética. Saber a base ajuda a entender melhor notícias científicas sobre DNA humano.
Além do Número: A Importância da Estrutura Cromossômica
| Item | O Que Você Precisa Saber | Foco Prático |
|---|---|---|
| O que são exatamente os cromossomos? | São estruturas dentro das células que carregam nosso DNA, o manual de instruções do nosso corpo. Pense neles como pacotes de informação genética. | Entender que são a base da nossa hereditariedade. |
| A forma dos cromossomos: como eles se parecem? | Geralmente parecem um “X”, especialmente quando a célula está se dividindo. Cada braço do “X” contém metade do material genético. | A forma é importante para o processo de cópia e divisão celular. |
| Cada cromossomo tem um trabalho? | Sim. Cada cromossomo contém centenas ou milhares de genes. Cada gene tem uma função específica na construção e no funcionamento do seu corpo. | Nenhum gene é desperdiçado; todos contribuem para quem você é. |
| Cromossomos sexuais: o que determina ser homem ou mulher? | São o par 23. Mulheres geralmente têm XX, homens têm XY. O cromossomo Y é o que geralmente define o sexo masculino. | É a combinação desses dois que define o sexo biológico. |
| E os outros 22 pares? O que eles fazem? | Esses são os autossomos. Eles carregam os genes para todas as outras características: cor dos olhos, altura, predisposições a certas condições, e por aí vai. | São eles que ditam a maioria das suas características físicas e funções corporais. |
| Como os cromossomos determinam nossas características? | Os genes nos cromossomos contêm as “receitas” para as proteínas. Essas proteínas fazem quase todo o trabalho no seu corpo e definem suas características. | É uma cadeia: cromossomo -> gene -> proteína -> característica. |
| O que acontece quando há um número errado de cromossomos? | Pode levar a condições médicas específicas. O corpo precisa da quantidade certa para funcionar corretamente. | Erros podem causar alterações significativas no desenvolvimento e na saúde. |
| Síndrome de Down: um exemplo comum de variação cromossômica | É causada pela presença de uma cópia extra do cromossomo 21. Essa variação afeta o desenvolvimento físico e intelectual. | Mostra como uma pequena alteração no número pode ter um grande impacto. |
| Mitos e verdades sobre a quantidade de cromossomos | Mito: apenas um cromossomo a mais ou a menos causa problemas graves. Verdade: varia muito. Algumas variações têm pouco efeito, outras são mais impactantes. O número padrão é 46. | Não caia em generalizações. Cada variação é única. |
| A ciência evolui: novas descobertas sobre o DNA humano | Estamos sempre aprendendo mais. A genética é um campo dinâmico, revelando novas conexões e entendimentos sobre nosso código genético. | O que sabemos hoje é apenas parte do |
Confira este vídeo relacionado para mais detalhes:
Cromossomos e Saúde: Implicações Genéticas
Pois é, a gente sabe que os humanos têm 46 cromossomos, divididos em 23 pares. Mas o que isso muda no nosso dia a dia? Muita coisa, meu amigo! Saber disso te ajuda a entender melhor sua saúde.
- Conheça sua herança: Se na sua família tem histórico de certas doenças genéticas, como fibrose cística ou hemofilia, é bom ficar atento. Converse com seu médico. Ele pode indicar exames para verificar se você carrega alguma alteração.
- Gravidez planejada: Para quem pensa em ter filhos, entender os cromossomos é essencial. Aconselhamento genético antes de engravidar pode prevenir muitas preocupações.
- Estilo de vida importa: Mesmo com uma genética “determinada”, seu estilo de vida tem um peso enorme. Alimentação, exercícios e evitar vícios ajudam a “ativar” os genes bons e “desativar” os ruins. Não é mágica, é ciência!
Dúvidas das Leitoras
Quantos cromossomos um ser humano tem normalmente?
Cada ser humano tem 46 cromossomos. Eles vêm em 23 pares, onde você herda metade de sua mãe e metade do seu pai.
Todos os humanos têm o mesmo número de cromossomos?
Sim, na maioria dos casos, todos os humanos possuem 46 cromossomos. Pequenas variações podem ocorrer e serem associadas a condições específicas.
O número de cromossomos muda com a idade?
O número total de cromossomos não muda com a idade. No entanto, alterações cromossômicas podem ocorrer durante o processo de formação de óvulos e espermatozoides.
Como os problemas cromossômicos são diagnosticados?
Problemas cromossômicos são geralmente diagnosticados através de exames genéticos, como o cariótipo. Esses testes analisam a estrutura e o número dos cromossomos de uma pessoa.
Pois é, a gente entende que entender nosso corpo é fundamental. Então, para fechar: cada um de nós carrega 46 cromossomos. São 23 pares, a receita completa que nos torna quem somos. Se você achou isso interessante, que tal dar uma olhada em como a genética influencia outras características suas?

